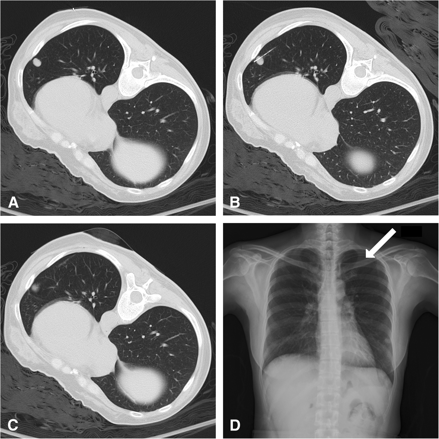
Fig. 1

CT-guided pulmonary biopsy in a 45-year-old female. a Pre-biopsy CT with standard lung window revealed a 10-mm nodule over the left lower lobe. A metallic marker was placed over the skin for location. b The biopsy was performed using a 17-gauge introducing needle and 18-gauge cutting needle. To prevent the needle from crossing the fissure and being blocked by the rib, a proper entry site was chosen. The final position of the cutting notch of the needle was just inside the nodule. c Post-biopsy CT revealed minimal pulmonary hemorrhage around the needle path, and no pneumothorax was found. d A standing chest X-ray was performed 24 hours after the procedure. The pleural line (arrow) over the left upper chest was visible, and pneumothorax over the left side was confirmed