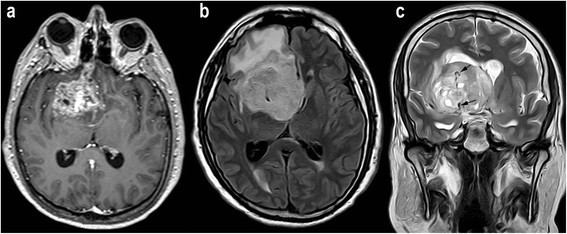
Figure 1

Example of MR images from a patient with glioblastoma (grade IV). a, Contrast-enhanced axial T1-weighted image shows an enhancing mass in the right frontal region. b, Axial FLAIR image shows peritumoral edema. c, Coronal turbo SE T2-weighted image revealing abnormal macroscopic vessels (arrows) within the tumor (neovascularization).